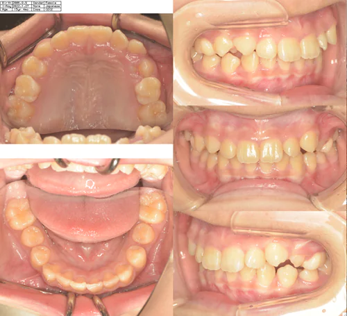
症例

case.1
治療前 治療中 治療後
治療開始の年齢 13歳3ヶ月
治療名 上顎両側3番埋伏歯開窓牽引
治療内容 叢生及び異所萌出歯の配列
費用 770,000円
治療期間 1年7カ月
リスク・副作用 ・矯正装置による違和感や粘膜の痛みを感じることがあります
・歯磨きが難しくなります
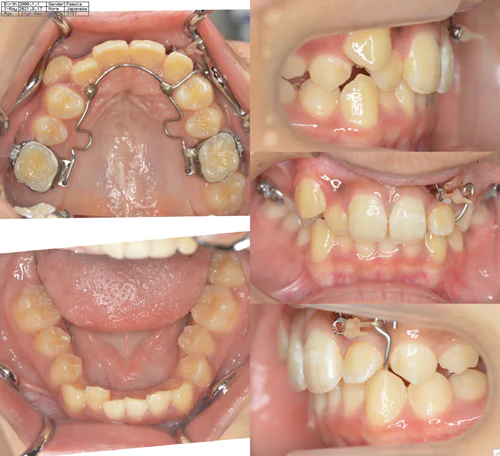
case.3(月城様)
治療前 治療中 治療後
治療開始の年齢 13歳4ヶ月
治療名 右下5番埋伏歯開窓牽引及び配列
治療内容 部分矯正
費用 330,000円
治療期間 6カ月
リスク・副作用 ・矯正装置による違和感や粘膜の痛みを感じることがあります
・歯磨きが難しくなります
case.4(山本 彩葉様)
治療前 治療中 現在
治療開始の年齢 10歳4ヶ月
治療名 小児の時期より矯正治療をしていたが、
歯が出てこないため開窓牽引を始めた
治療内容
費用 000円
治療期間 年カ月
リスク・副作用 ・矯正装置による違和感や粘膜の痛みを感じることがあります
・歯磨きが難しくなります
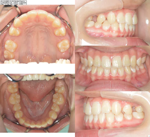
case.4(山本 雪月花様)
治療前 治療中 治療後
治療開始の年齢 12歳6ヶ月
治療名 上顎両側5番開窓牽引
異所萌出している5番を開窓牽引した
治療内容 全顎的な矯正
費用 770,000円
治療期間 1年6ヶ月
リスク・副作用 ・矯正装置による違和感や粘膜の痛みを感じることがあります
・歯磨きが難しくなります
case.5(村田様)
治療中 治療中 現在

レントゲン写真(治療前)

治療開始の年齢 10歳
治療名 親知らずによる7番目の歯牙の萌出不全
治療内容 全顎的な矯正治療を行っていたが、
親知らずにより7番が出てこないため開窓牽引を行った
費用 770,000円
治療期間 2年
リスク・副作用 ・矯正装置による違和感や粘膜の痛みを感じることがあります
・歯磨きが難しくなります
case.6(たけだ様)
治療前 治療中 治療後

治療開始の年齢 10歳3ヶ月
治療名 上顎両側3番埋伏歯牽引及び転位歯の配列
治療内容 全顎的矯正を行なった
費用 770,000円
治療期間 2年
リスク・副作用 ・矯正装置による違和感や粘膜の痛みを感じることがあります
・歯磨きが難しくなります
case.6(渡邊様)
治療前 治療中 治療後

治療開始の年齢 10歳
治療名 上顎右側1,2番埋伏歯の牽引及び配列
治療内容 埋伏歯の牽引及び乳歯の生え変わり後全顎矯正
費用 770,000円
治療期間 5年2カ月
リスク・副作用 ・矯正装置による違和感や粘膜の痛みを感じることがあります
・歯磨きが難しくなります
case.7(サカイ様)
治療前 治療中 治療後

治療開始の年齢 9歳1ヶ月
治療名
全顎矯正
治療内容
非抜歯にて開窓牽引配列
費用 770,000円
治療期間 一期治療後生え替わりなどを待ちながら4年
リスク・副作用 ・矯正装置による違和感や粘膜の痛みを感じることがあります
・歯磨きが難しくなります
case.8(中村様)
治療前 治療中 治療後

治療開始の年齢 12歳1ヶ月
治療名
開窓牽引
治療内容
埋伏歯の開窓牽引配列
費用 770,000円
治療期間
1年3ヶ月
リスク・副作用 ・矯正装置による違和感や粘膜の痛みを感じることがあります
・歯磨きが難しくなります
クリニックホームページ作成クリニックホームページ制作
TOPへ戻る